(416) 282- 3116
305 Port Union Rd
Scarborough, ON
M1C 2L5
info@kotanskydental.com


Home
Meet our Team
Office News
Dental Services
Smile Gallery
Contact Us
New Patients

Port Union Dental Smile Gallery


CASE STUDY #1:


Jorge was looking for whiter teeth, with no freezing and can be done in only 90 minutes! Well, he was in luck because he was able to have it done with us at Kotansky Dental in Scarborough.


CASE STUDY #2:
Before
After


Bryon was missing a front tooth and needed it replaced. An implant was used for the replacement and it looks and functions great!


CASE STUDY #3:
Before
After


Dr. Kotansky attached a Fixed Bridge to four Dental Implants to replace nearly all front teeth.


CASE STUDY #4:
Before
After


A chip on the front tooth disappears with some bonding by Dr. Kotansky.


CASE STUDY #5:
Before
After


Through prosthetic intervention we were able to restore him to a gorgeous functional smile.


CASE STUDY #6:
Before
After


Anterior teeth replaced by full coverage crowns.


CASE STUDY #7:
Before
After


Restoring a lost front tooth with an implant supported crown.


CASE STUDY #8:
Before
After


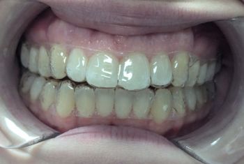
Beautiful alignment with SureSmile retainers.

CASE STUDY #9:
Before
After


Beautiful Smile with SureSmile Aligners.


CASE STUDY #10:
Before
After

 
What Our Patients Are Saying...

"Professional and personal, Dr. Kotansky always listens to what I'm saying." - Peter
"Dr. Kotansky takes the time to make me feel comfortable with his welcoming approach." - Esther

"How many years has it been now? I am thrilled by this new website and newsletter. I feel closer to all of you already! Dr. Kotansky, you are by far the best dentist I have ever had! You are caring, have a great sense of humour and at the same time very professional and informative.

My husband has terrible dental anxiety but you really helped alleviate his fears. To this day, he will only see you. I've been through a few dentists in my time and you will always be my favourite and the one I will always turn too. Your staff are all awesome, from the hygienists to the front desk staff. Ms. Sharon and her fill-in are especialy fantastic.

Thanks for being there for all of us who need regular dental care!" - Laurie

 What's New in our office?

 Stay up to date with what's happening in our office!


 Your comfort matters

 We take great care to ensure you feel no anxiety in our office.

Learn how we can help Learn how we can help

Home
Meet our Team
Office News
Dental Services
Smile Gallery
Contact Us

Our Office Our Practice Hours Our Location

305 Port Union Rd
Scarborough, ON
M1C 2L5
(416) 282 3116
Mon. 10:00am - 6:30pm
Tues. 9:00am - 5:00pm
Wed. 9:00am - 5:00pm
Thurs. 9:00am - 2:00pm
Fri. 9:00am - 4:00pm
Sat. 9:00am - 2:00pm
© Kotansky Dental | Privacy Policy